Ngày 4/2, Bệnh viện Chợ Rẫy cho biết vừa cấp cứu và điều trị thành công cho bệnh nhân N.V.T. 65 tuổi, ở Tp.HCM bị áp xe gan do dị vật là tăm tre xuyên vào nhu mô gan.
Bệnh nhân nhập viện trong tình trạng sốt kéo dài không rõ nguyên nhân, kèm theo đau vùng thượng vị và hạ sườn phải. Các triệu chứng này đã xuất hiện khoảng một tháng trước khi bệnh nhân đến bệnh viện. Trong thời gian đó, người bệnh từng thăm khám và điều trị tại nhiều cơ sở y tế nhưng vẫn chưa xác định được nguyên nhân.

Các bác sĩ không khỏi bất ngờ khi phát hiện một dị vật dạng que, dài khoảng 6–7 cm, nằm hoàn toàn trong nhu mô gan, kèm theo ổ nhiễm trùng sâu.
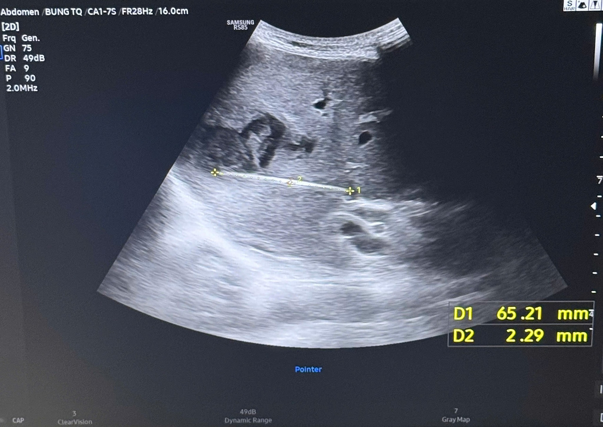
Qua thăm khám ban đầu, bệnh nhân được chỉ định siêu âm ổ bụng và phát hiện có ổ áp-xe gan. Khi tiến hành siêu âm kỹ hơn, ê kíp phát hiện một dị vật cản quang xuyên trong nhu mô gan, chiều dài ước tính khoảng 6-7cm. Ngay sau đó, bệnh nhân được chỉ định chụp cắt lớp vi tính (CT scan) ổ bụng. Kết quả cho thấy có một dị vật dạng que dài nằm hoàn toàn trong nhu mô gan, kèo theo ổ áp xe sâu. Trước nguy cơ biến chứng nặng nếu không điều kịp thời, ê kíp khoa Nội tiêu hóa đã nhanh chóng hội chẩn cùng khoa Ngoại Gan Mật Tụy, thống nhất phương án phẫu thuật lấy dị vật, dẫn lưu ổ áp xe, kết hợp điều trị kháng sinh phù hợp.

Hình ảnh CT Scan ổ bụng của bệnh nhân. Ảnh: BVCC.
Thạc sĩ, bác sĩ Trần Đình Quốc – Khoa Ngoại Gan mật tụy, Bệnh viện Chợ Rẫy, cho biết ca phẫu thuật gặp nhiều khó khăn do ổ áp xe nằm sâu trong nhu mô gan, sát cơ hoành và các mạch máu lớn. Ê-kíp ban đầu dự kiến phẫu thuật nội soi nhưng buộc phải chuyển sang phương pháp khác để đảm bảo an toàn, khiến thời gian mổ kéo dài gấp đôi.
Dị vật được lấy ra là một cây tăm tre xỉa răng. Đáng chú ý, cả bệnh nhân và người nhà đều không nhớ rõ thời điểm đã nuốt phải dị vật. Chỉ khi khai thác kỹ tiền sử sinh hoạt, các bác sĩ mới ghi nhận bệnh nhân có thói quen thường xuyên ngậm tăm tre sau khi ăn.
Theo các bác sĩ, dị vật sau khi nuốt vào có thể đã xuyên qua thành ống tiêu hóa, nhiều khả năng là dạ dày hoặc tá tràng, rồi di chuyển âm thầm vào gan, gây nhiễm trùng khu trú và hình thành ổ áp xe. Do diễn tiến chậm và triệu chứng không điển hình, bệnh thường chỉ được phát hiện khi biến chứng đã xuất hiện.
Sau 6 ngày hậu phẫu, bệnh nhân hồi phục tốt và được xuất viện.

Thông qua trường hợp này, các bác sĩ khuyến cáo người dân nên thay đổi những thói quen sinh hoạt tưởng chừng nhỏ và vô hại. Cụ thể, không ngậm tăm tre sau khi xỉa răng và cần vứt bỏ ngay sau khi sử dụng. Bên cạnh đó, khi nghi ngờ đã nuốt dị vật, người dân cần đến ngay cơ sở y tế để được thăm khám, chẩn đoán và xử trí kịp thời. Đặc biệt, cần đi khám sớm nếu xuất hiện các dấu hiệu bất thường như sốt kéo dài không rõ nguyên nhân, đau bụng âm ỉ, đau vùng hạ sườn phải… để tránh bệnh diễn tiến nặng và gây biến chứng nguy hiểm.
Trúc Chi (t/h)